Casi Clinici
|
CORONA SU IMPIANTO 3I:Incisivo laterale superiore |
![]() |
||
| RIABILITAZIONE ARCATA FRONTALE SUPERIORE- Prima | |||
| RIABILITAZIONE ARCATA FRONTALE SUPERIORE-provvisorio | |||
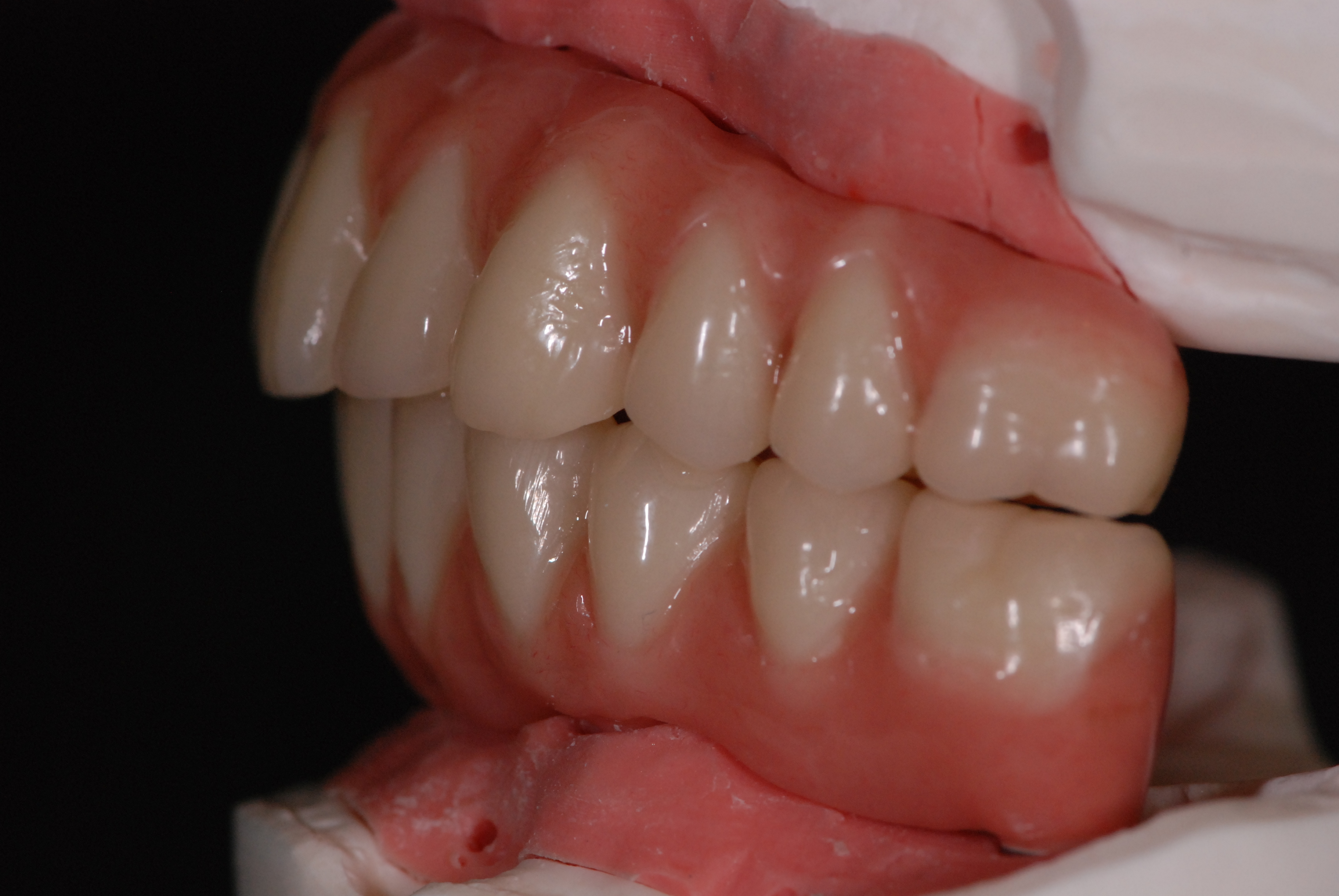
| RIABILITAZIONE ARCATA FRONTALE SUPERIORE-dopo | |||
| IMPLANTOLOGIA GUIDATA-arcata superiore | |||
| IMPLANTOLOGIA GUIDATA-arcata inferiore | |||
| IMPLANTOLOGIA GUIDATA-provvisorio |
